На информационном ресурсе применяются рекомендательные технологии (информационные технологии предоставления информации на основе сбора, систематизации и анализа сведений, относящихся к предпочтениям пользователей сети "Интернет", находящихся на территории Российской Федерации)

Газета "Мой район"

14 подписчиков

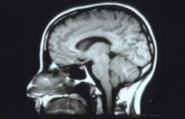
Ученые выяснили отличие мужского мозга от женского

Добровольцы прошли три теста: на запоминание, математическое мышление и вербальное общение.

Ссылка на первоисточник
Рекомендуем
Популярное
наверх